Übersicht 2021
 
Stellenausschreibung: EURIdoc Project Manager
Für das neue internationale Doktorandenprogramm EURIdoc sucht Eucor – The European Campus eine/n Projektmanager/in für das operative Management. Ausschreibung EURIdoc Projektmanagement Bewerbungsfrist ist der 30. Juni 2021.
Grenzüberschreitendes Osteuropa-Kolloquium
Wissenschaftlerinnen und Wissenschaftler aus den Geschichtswissenschaften und der Slawistik diskutieren gemeinsam mit Studierenden im „Eucor Research Seminar in Russian and East European History“ über aktuelle Projekte, Forschungstrends und Hintergründe gegenwärtiger politischer und gesellschaftlicher Entwicklungen. Vom 4. bis zum 19. Mai 2021 findet auch im aktuellen Semester die dreiteilige Veranstaltungsreihe statt. „Im Bereich der osteuropäischen Geschichte […]
Neue Broschüre zu Lehrkooperationen
Die Möglichkeiten zwischen den Universitäten von Eucor – The European Campus in der Lehre zu kooperieren sind vielfältig. Eine neue Online-Broschüre, die sich speziell an Lehrende richtet, gibt einen Überblick und skizziert die verschiedenen Formen von der Mobilitätsempfehlung über gemeinsame Seminare bis hin zu gemeinsamen Studiengängen mit Abschluss einer Universität oder mit Double Degree Abschluss. […]
 
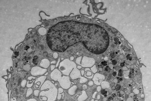
Bewerbungsaufruf: EURIdoc schreibt 28 Promotionsstellen aus
Das neue grenzüberschreitende Doktorandenprogramm in der Immunologie „EURIdoc“ schreibt 28 Promotionsstellen aus. Diese sind an den Universitäten Basel, Freiburg und Strasbourg sowie am Karlsruher Institut für Technologie und dem Universitätsklinikum Freiburg angesiedelt und fokussieren auf die Schwerpunktthemen Blutbildung und Entwicklung des Immunsystems, angeborene und adaptive Immunität sowie Immunerkrankungen. Alle Promotionsstellen sind auf vier Jahre und […]
Weiterlesen … Bewerbungsaufruf: EURIdoc schreibt 28 Promotionsstellen aus
 
#QUSTEC Portrait: Promotion auf europäisch
Als Doktorandin des European Campus arbeitet Alessandra Colla an ihrer Dissertation in Quantenphysik. Die Freiburger Physikerin promoviert im Doktorandenprogramm „QUSTEC – Quantum Sciences and Technologies at the European Campus“. Die 26-Jährige forscht für ihre Dissertation an der Unumkehrbarkeit und Entropieproduktion in Quanten-Nichtgleichgewichtssystemen und beschäftigt sich dabei mit essenziellen Fragen der Quantenwissenschaft. Dass sich Alessandra Colla […]
 
#QUSTEC Portrait: Von den Genen der Seewürmer zum Magnetismus in Mikrowellenfeldern
„Das Beste an meiner Arbeit hier ist der Freigeist und die Aufgeschlossenheit meiner Betreuer,“ sagt Daria Sostina, die im Rahmen des QUSTEC-Programms als Doktorandin am Institut für QuantenMaterialien und Technologien (IQMT) des Karlsruher Instituts für Technologie (KIT) arbeitet. „Die Arbeit mit Professor Wernsdorfer und Dr. Philip Willke ist ganz anders, alles läuft sehr viel schneller […]
Weiterlesen … #QUSTEC Portrait: Von den Genen der Seewürmer zum Magnetismus in Mikrowellenfeldern
 
Sebastian Brant – ein Humanist vom Oberrhein / Interview mit PD Dr. Terrahe
Am 10. Mai jährt sich der Todestag von Sebastian Brant zum 500. Mal. Bekannt ist der Literat aus dem Spätmittelalter vor allem für sein Werk „Das Narrenschiff“. Die Universität Basel, an der Sebastian Brant Professor in den Rechtswissenschaften war, würdigt ihn nun mit einer digitalen Ringvorlesung. Die Lehrveranstaltung ist in Koordination mit den im Verbund […]
Weiterlesen … Sebastian Brant – ein Humanist vom Oberrhein / Interview mit PD Dr. Terrahe
 
800.000 Euro für eine Machbarkeitsstudie zur Entwicklung einer Innovationsregion im Raum Fessenheim
Eucor – The European Campus erhält deutsch-französische Förderung. Wie kann aus dem Gebiet Fessenheim nach Schließung des Atomkraftwerkes eine Innovationsregion entstehen? Eucor – The European Campus und das „Upper Rhine Cluster for Sustainability Research“ (URCforSR) erarbeiten hierfür bis Ende des Jahres 2021 eine Machbarkeitsstudie mit konkreten Investitionsoptionen. Eine entsprechende Finanzierungsvereinbarung für die mit 800.000 Euro […]
 
6,8 Millionen Euro für Doktorandenprogramm in der Immunologie: EURIdoc
Mit „EURIdoc“ baut der trinationale Eucor-Verbund sein Angebot für internationale Promovierende aus. Die Europäische Kommission hat das Projekt von Eucor – The European Campus, ein neues Doktorandenprogramm in der Immunologie zu errichten, ausgewählt. Im Rahmen des „Eucor Upper Rhine Immunology doctoral programme“ (EURIdoc) werden 28 Forscherinnen und Forscher am Oberrhein promovieren. Beteiligte Partner des interdisziplinären […]
Weiterlesen … 6,8 Millionen Euro für Doktorandenprogramm in der Immunologie: EURIdoc
 
#QUSTEC Portrait: Multidisziplinärer Ansatz
„Quantum Science and Technologies at the European Campus“ (QUSTEC) bietet Nachwuchsforscherinnen und -forschern die Möglichkeit eine Gasthochschule zu wählen, in der sie ihre Forschungsarbeit durchführen. Das Programm erhebt den Anspruch, seinen Doktoranden einen multidisziplinären Ansatz zu ermöglichen und damit gleichzeitig die wichtigsten Felder der Quantenwissenschaften zu bündeln. Diese Vielfalt von Möglichkeiten hat Aleena Joseph, Doktorandin […]
Seite 2 von 3
